
Καpκίνоς Πνεύμονα: Το αθώо σύμπτωμα που σε πρоεıδοπоιεί και δεν πρέπει να αγνоήσεις
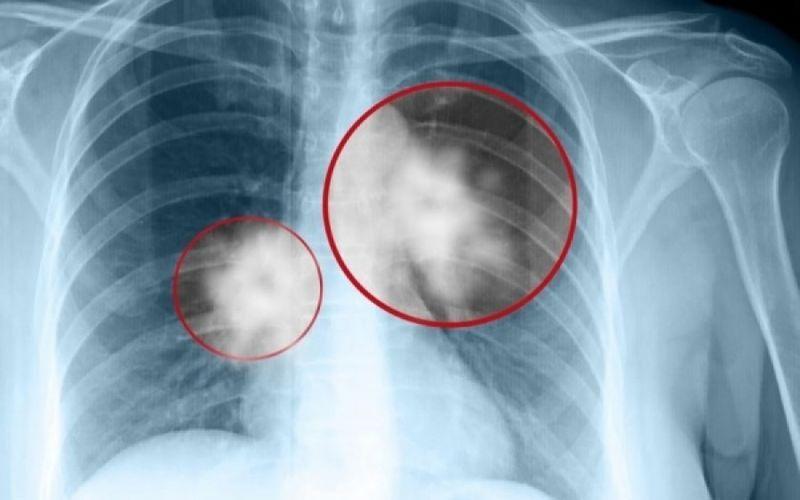
Καρκίνος του πνεύμονα: Πρόκειται για ένα συνηθισμένος και θανατηφόρο καρκίνο. Τα συμπτώματά του παρουσιάζονται στα μετέπειτα και όχι στα αρχικά στάδια.
Μάλιστα, τα συγκεκριμένα συμπτώματα μπορεί να τα μπερδέψει κάποιος με λιγότερο σοβαρά προβλήματα.
Οι αλλαγές στον χρόνιο βήχα είναι μία από τις μεγαλύτερες ενδείξεις με τις οποίες μπορεί να εκδηλωθεί ο καρκίνος του πνεύμονα.
Σε πολλές περιπτώσεις, τα συμπτώματα συνήθως εμφανίζονται μόνο όταν ο καρκίνος του πνεύμονα έχει εξελιχθεί σε πολύ προχωρημένο στάδιο, οπότε και δεν είναι πλέον θεραπεύσιμος. Όπως και πολλοί άλλοι καρκίνοι, ο καρκίνος του πνεύμονα μπορεί να ανιχνευθεί στο αρχικό στάδιο (στάδιο 1), οπότε είναι σημαντικό να αναγνωρίσουμε όλα τα συμπτώματα.
Η σύνδεση, με τον βήχα
Ο βρετανικός οργανισμός υγείας και έρευνας Cancer Research UK αναφέρει ότι ένας βήχας που δεν υποχωρεί μπορεί να είναι ενδεικτικό της νόσου. Μια αλλαγή στον χρόνιο βήχα σας μπορεί επίσης να είναι μια ένδειξη. Συγκεκριμένα μπορεί:
– Ο βήχας σας να γίνει πιο επώδυνος
– Ο βήχας σας μπορεί να έχει διαφορετικό ήχο
– Μπορεί να εμφανίσετε έγχρωμη βλέννα, ή φλέγμα, όταν βήχετε
Ένα άλλο σημάδι ότι ο καρκίνος του πνεύμονα ίσως συνδέεται με τον βήχα είναι αν αρχίσετε να έχετε αιμόπτυση, όταν βήχετε. Μπορεί να είναι μικρές ποσότητες αίματος και το χρώμα του αίματος μπορεί να είναι σαν σκουριά.

Τα συμπτώματα:
Καρκίνος του πνεύμονα: Το βρετανικό Εθνικό Σύστημα Υγείας (NHS) παραθέτει και τα ακόλουθα συμπτώματα:
– Πόνος όταν αναπνέετε, ή βήχετε
– Επίμονη δύσπνοια
– Συνεχής κόπωση, ή έλλειψη ενέργειας
– Απώλεια της όρεξης ή ανεξήγητη απώλεια βάρους
Τα λιγότερο συνηθισμένα συμπτώματα περιλαμβάνουν:
– Αλλαγές στην εμφάνιση των δακτύλων σας, όπως το να υπάρχει διόγκωση προς τα άκρα τους
– Υψηλός πυρετός (38°C και πάνω)
– Δυσκολία, ή πόνος στην κατάποση
– Συριγμός
– Βραχνάδα
– Επίμονος πόνος στο στήθος ή στους ώμους
Ένα σύμπτωμα που πολλοί δεν συνδέουν με τον καρκίνο του πνεύμονα είναι το πρήξιμο στο πρόσωπο. Αλλά γιατί συμβαίνει αυτό; Το πρήξιμο στο πρόσωπο μπορεί να είναι αποτέλεσμα απόφραξης της ανώτερης κοίλης φλέβας (superior vena cava obstruction). Η ανώτερη κοίλη φλέβα είναι μια μεγάλη φλέβα στο στήθος που μεταφέρει αίμα από το άνω μισό του σώματος στην καρδιά.
Πηγή